Inspiration
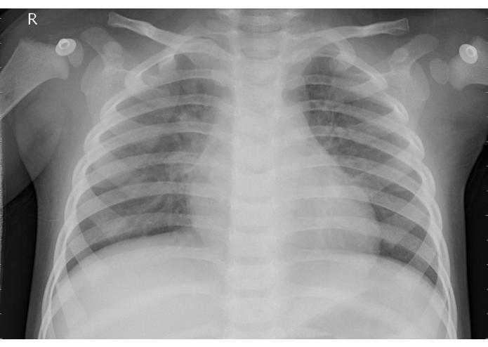
Machine Learning for Medicine - Pneumonia nowadays is still a life-threatening disease that may affect young children's lives. To exam the illness, an X-ray scan is usually taken and the infected area may be detected by doctors. The project aims to develop a program that assists doctors to determine the situation.
What it does
Image Classification - X-ray images are processed and input into the program and an output stating whether there is a case of pneumonia will show.
How I built it
CNN models - use CNN models to process image data.
Challenges I ran into
Training&data processing - The training process and data processing are very difficult to handle. Each image is of a different size. To resize the images without compromise the result, it requires a series of attempts of different parameters.
Accomplishments that I'm proud of
We achieved over 90% accuracy.
What I learned
Image processing is not as simple as it seemed.
What's next for ChestXRai
To include more data in the dataset and have more features, including boxed boundaries for infected areas.
Log in or sign up for Devpost to join the conversation.